子宮にペニスを入れて行うウテルスセックス、おもちゃを入れるウテルスオナニー。
ウテルスセックスやウテルスオナニーは都市伝説?本当にできる?ネット上でもさまざまな憶測が飛び交っています。
果たして子宮内にペニスやおもちゃを挿入する【ウテルスプレイ】はできるのでしょうか。
ウテルスセックス・オナニーってどうやってするの?
通常セックスやオナニーで、ペニスやおもちゃを挿入するのは膣内です。ドイツ語で子宮を意味するウテルスの中に、挿入して行う性行為があると言われています。
基本的に、ウテルスセックスはできません。
ペニスがウテルスへ入ると、男性側はリング状の締め付け感がするらしいのですが、経験があるという方は女性がウテルスで感じられるようになると、子宮がすんなりと開いてペニスを飲み込むとあります。
しかし通常子宮口は硬く閉ざされています。出産の経験がある経産婦の場合は、子宮が開いた経験で柔らかくなっていますが、それでも子宮は通常は開いていません。
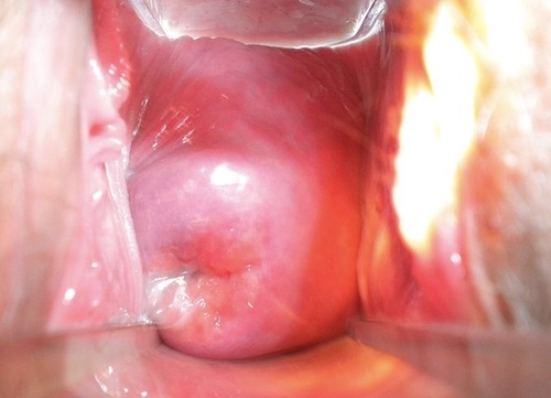
子宮口の画像はこちら
(※画像をクリックすると、別ウィンドウで大きく開きます。)
子宮は出産時に約10cmにまでも開きますが、赤ちゃんが生まれてくる際に起こる現象です。
出産の痛みは、男性が経験すると死ぬというほどのものです。
上唇を後頭部までめくりあげた痛みとも、鼻からスイカを出す痛みなどとも言われますね。
そして仮にできるにしても、子宮口にペニスを入れるなど激痛で死ぬ思いをします。お産をした方なら、子宮口が開く痛みがどれほどのものかご存知でしょう。
管理人紗江は避妊リングのミレーナを入れています。
あんな小さなものでも、子宮へ入れた時、大げさに言えば出産の半分ほどの痛みを感じました。
体が震え上がるほどの痛みは、思い出すだけでもゾッとします。
ですからウテルスセックスにしてもオナニーにしても、できるわけがないと考えるのが通常です。
ウテルスセックスのやり方
ですが、ウテルスセックスを行うための方法では、以下のようなことが言われています。
- 感じてくると、子宮口が硬く閉ざされるので前戯はしない
- 愛液で濡れている必要もあり、感じさせて子宮を下ろす必要がある
このように、正反対の事が言われていたりします。
ウテルスだけではなくどんな性行為であっても正解はなく、100%誰もが感じるやり方など存在しませんが、ここまで正反対だと少し違和感を感じますね。
たしかに女が感じてくると、子宮が下がると言われています。
そして、バルーン現象と呼ばれる状態になる場合もあります。
▼オナニーでバルーン現象になる?
ですが感じてくると子宮口がもっと閉ざされる(?)のなら不可能ですし、どちらが正解か不正解かはわかりませんが、どちらにせよウテルスセックスやウテルスオナニーはできないのです。
ウテルスへ入った感覚は、Aスポットへはまり込んだ状態を錯覚したのだと考えられます。
▼Aスポットで擬似ウテルス快感オナニー
ウテルスは指では入らない・ペニスは入る?
ネットで見つけた情報では『ウテルスはペニスでしか開発できない。』というものがありました。
子宮口へは指では入れることができないのだとか。
子宮口が本当に深く感じている状態で、ペニスしか入らないと解説されていました。
本当に感じている状態でウテルスにペニスが入るのなら、指が入らないのはなぜ?
信憑性に欠ける気がしました。
ただし当サイトで推奨しているポルチオ開発と、少し似ている部分でもあります。当サイトは、ポルチオ開発を指で行うのは推奨していません。刺激がキツすぎるからです。
ポルチオがよほど開発されていないと、ウテルスセックスはできないという意味なのかも知れませんね。
しかし子宮に指が入らないのなら、ウテルスオナニーはできないということになります。
そもそもウテルスオナニーなど恐ろしいことを、いったい誰がしようとするのでしょうか。
ウテルスオナニーはできる?
実は、実際に子宮口に指や棒状のものを入れてウテルスオナニーをしている動画がありました。
実は気分が悪くなってしまい書く気も失せ、ここへ書くまでにかなりの時間を要しました。
管理人紗江も少し前までは、100%できないと考えていました。しかしやはりこの世に100%はありません。
見ると、子宮口が何もせずとも開いている方もいます。
アナル拡張のように何らかを行なったのか、ウテルスオナニーを繰り返して広がってしまったのか…。
さらには、子宮口を体外に出しているものまであります。
もはや、正気の沙汰ではありません。
見ているだけでも吐き気がし痛くなってきそうなほど、大変恐ろしい行動です。
体になんらかの支障が出てもおかしくありません。子宮は、女性の急所です。そんな大切な箇所に危険な行為をしてしまうと、子宮が破れてしまう可能性もあります。
間違っても、ウテルスオナニーなどしないようにして下さい。
必ず何らかの異常が表れます。また死亡してしまう可能性もあります。
世の中は広くこういった方がいるのも事実です。
ウテルスオナニーができる方なら、もしかするとウテルスセックスができる方がいるのかも知れません。




コメント